Estetická stomatologie a keramické fazety

Chcete krásný a přirozený úsměv bez kompromisů?

Keramické fazety představují moderní a šetrný způsob, jak rychle a dlouhodobě zlepšit barvu, tvar i celkový vzhled předních zubů. Fazeta je tenká keramická „skořápka“, která se lepí na přední plochu zubu. Keramika má velmi autentickou průsvitnost a lesk, takže úsměv nepůsobí „uměle“, ale zcela přirozeně.

Poraďte se s odborníkem Konzultace zdarma Probereme vaše očekávání a navrhneme řešení na míru
keramické fazety pro koho jsou vhodné

Pro koho jsou keramické fazety vhodné?

Keramické fazety jsou ideálním řešením, pokud vás trápí například:

  • tmavší, skvrnité zuby nebo zuby, které nereagují dobře na bělení
  • drobné nerovnosti, nepravidelný tvar, asymetrie
  • obroušené nebo „ošoupané“ řezací hrany
  • mezery mezi zuby (např. diastema)
  • staré neestetické výplně v předním úseku
  • potřeba sjednotit tvar a barvu zubů pro harmonický úsměv
keramické fazety rozdíl před a po

Zda jsou fazety vhodné právě pro vás, ukáže vstupní konzultace.

U některých stavů (například neléčený zánět dásní, výrazné skřípání zubů bez ochrany nebo nevhodné skusové poměry) je potřeba nejprve vyřešit příčinu a až poté plánovat fazety.

Alternativa: neviditelná rovnátka (alignery)

Pokud je hlavním problémem postavení zubů (křivé, otočené nebo přeplněné zuby), často je nejšetrnější cestou nejdříve ortodontická léčba pomocí neviditelných rovnátek – tzv. alignerů. Jde o průhledné, vyjímatelné dlahy, které zuby postupně posouvají do správné polohy.

Výhodou je, že se zuby esteticky zlepší bez nutnosti změny jejich tvaru pomocí fazet. V řadě případů lze alignery využít i jako přípravu před fazetami – například když chceme dosáhnout ideálního postavení zubů a teprve potom doladit tvar nebo barvu. Na konzultaci vám vysvětlíme, která varianta (fazety, alignery, nebo kombinace) je pro váš úsměv nejvhodnější.

Hlavní výhody keramických fazet

  • přirozený vzhled díky vlastnostem keramiky (průsvitnost, lesk)
  • dlouhodobá barevná stálost – běžně se nezabarvují kávou, čajem ani kouřením
  • vysoká odolnost a dlouhá životnost při správné péči
  • v mnoha případech stačí minimální úprava zubu
  • estetický výsledek je viditelný okamžitě po fixaci fazet

Jak probíhá ošetření krok za krokem

1) Konzultace a vyšetření
2) Návrh úsměvu (smile design)
3) Příprava zubů
4) Sken / otisky a výroba v laboratoři
5) Nasazení a fixace
Sken otisk pro keramické fazety

Digitální sken

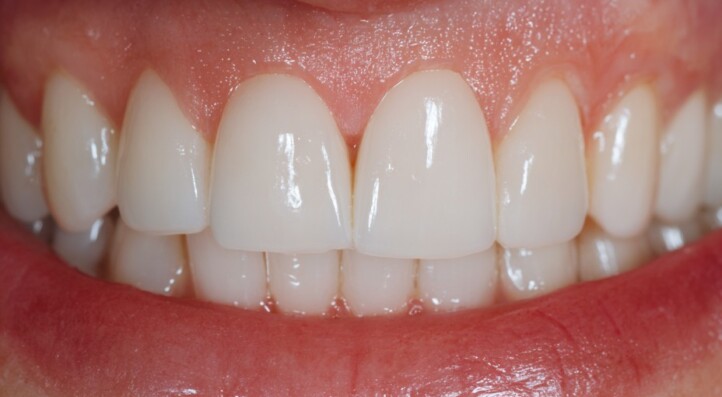
keramické fazety po fixaci

Výsledek po fixaci

Další ukázky našich prací

Jak dlouho fazety vydrží a jak o ně pečovat

Keramické fazety jsou odolné, ale pro dlouhou životnost je důležitá správná péče:

  • důsledná domácí hygiena (kartáček + mezizubní péče)
  • pravidelné preventivní prohlídky a dentální hygiena
  • pokud skřípete zuby, doporučíme ochrannou noční dlahu
  • vyhnout se návykům typu kousání nehtů, otevírání obalů zuby apod.

Přesné doporučení vždy záleží na skusu a individuálních podmínkách. Na kontrolách sledujeme stav fazet i dásní a včas řešíme případné zatížení.

Keramické fazety vs. kompozitní fazety

Keramické fazety jsou prémiové řešení s nejvyšší estetikou a dlouhodobou barevnou stálostí. Výsledky jsou velmi přirozené a odolné.

Kompozitní fazety (přímé) mohou být rychlejší a finančně dostupnější varianta pro menší úpravy nebo jako přechodné řešení, ale časem se mohou více zabarvovat a opotřebovat.

Na konzultaci vám vysvětlíme rozdíly a doporučíme variantu, která dává největší smysl právě pro vás.

Cena keramických fazet a možnosti financování

Cena se odvíjí od počtu fazet, rozsahu úprav, použitého materiálu a náročnosti případu. Orientačně se celková cena pohybuje od 30 000 Kč. Přesnou kalkulaci vám připravíme po vyšetření a návrhu plánu.

Aby byl zákrok dostupnější, nabízíme možnost platby po částech a také výhodné financování (splátkový plán). Vše vám rádi vysvětlíme a nastavíme podle vašich možností.


Objednejte se na konzultaci

Chcete vědět, zda jsou keramické fazety vhodné právě pro vás? Objednejte se na konzultaci. Probereme vaše přání, zhodnotíme stav zubů a navrhneme řešení, které povede k přirozenému a harmonickému úsměvu.

Zdravotní pojišťovny

Máme uzavřené smlouvy s následujícími zdravotními pojišťovnami:

spolupracujeme se zdravotní pojišťovnou VZP
spolupracujeme se zdravotní pojišťovnou OZP
spolupracujeme se zdravotní pojišťovnou ČPZP
spolupracujeme se zdravotní pojišťovnou RBP
spolupracujeme se zdravotní pojišťovnou VoZP
spolupracujeme se zdravotní pojišťovnou ZPŠ
logo ZPMV